
顔の輪郭などの見た目が良くなるだけでなく、口腔機能がより正常になるので全身に良い治療です。

私たちは健康であるとともに、美しくありたいと思っています。

口もとや顔の輪郭が美しくなることで笑顔に自信が持て、精神的にも「明るくなる・積極的になる」など良い影響が期待できます。
歯並びや咬み合わせが悪いと・・・
食物が噛みにくい
言葉・言語がはっきりしない
外見の悪さとその劣等感
歯磨きしにくく虫歯になりやすい
歯磨きしにくく歯周病になりやすい
口臭の原因になりやすい
矯正治療の必要な歯並びと咬み合わせ

上顎前突
上の前歯が極端に前に出た状態。出っ歯のことです。


反対咬合(下顎前突)
下の前歯が上の前歯より前に出た状態。受け口のことで、横顔がしゃくれたように見える方もいます。


叢生(そうせい)
歯が凸凹に重なり合った状態。八重歯や乱ぐい歯ともいい、歯磨きがしにくく虫歯や歯周病になることも。


上下顎前突
上下の歯が前に突き出た状態。前に突き出た口もとが目立ち見た目があまり良くありません。唇を自然に閉じられない方もいます。


開咬
閉じた前歯が咬み合わず隙間があいてしまう状態。食べ物によっては噛み切れないものも。


過蓋咬合(かがいこうごう)
上の歯が下の歯に深くかぶさった状態。顔が短く見えたり、歯の接触が大きく損傷してしまうことも。


交叉咬合(こうさこうごう)
歯のかみ合わせが部分的に反対になっている状態。顔が歪んだり、食いしばりができない方もいます。
部分的な歯並び・咬み合わせを治すMTM
部分的な矯正治療がMTM(Minor Tooth Movement)です。歯の位置や傾きが部分的に不適正で、他の治療の妨げになったり、治療後に問題が残る恐れがある場合に行う矯正治療です。

挺出 歯の長軸に平行に上方向へ移動
回転 歯の長軸を中心軸に歯を回転
整直 傾斜している歯の歯軸を改善
歯体移動 歯を水平に移動
圧下 歯の長軸に平行に下方向に移動













矯正治療を始める時期は?
子どもの場合
近い将来、あごの成長に問題が出る可能性がある場合は状態に応じ早めに第Ⅰ期治療(あごの矯正治療)を行ないます。状態によっては小学校低学年のうちからの治療が必要になることもあります。


一般的に、あごの矯正治療(第Ⅰ期治療)後は永久歯への交換が始まるまで待ちます。永久歯への交換が始まったら、状態を診て第Ⅱ期矯正治療(歯の矯正)を始めます。

順調(正常)にあごが成長しているか?
上顎と下顎の位置や大きさなどの関係が正常か?
小学校高学年(第2次成長期)に向けて、上顎と下顎の関係が崩れる可能性は?

一般的に、あごの矯正治療(第Ⅰ期治療)後は永久歯への交換が始まるまで待ちます。永久歯への交換が始まったら、状態を診て第Ⅱ期矯正治療(歯の矯正)を始めます。
大人の場合
あごや歯の状態が安定しているので、いつでも矯正治療を始めることができます。
年齢とともに歯が動きにくくなるので、早期治療をお勧めします。
年齢とともに歯が動きにくくなるので、早期治療をお勧めします。
矯正治療の期間はどのくらい?

一般的には治療期間は2年ほどですが1年前後の個人差があります。また歯並びを整えた後、1〜2年の保定期間が必要になります。

保定期間とはあごの骨が固まり歯並びや咬み合わせが安定するまで保定装置をお口に装着して矯正治療後の状態を保つ期間です。最良の矯正治療のためにも保定装置を正しく用いて、適切な保定期間を過ごしましょう。

保定期間とはあごの骨が固まり歯並びや咬み合わせが安定するまで保定装置をお口に装着して矯正治療後の状態を保つ期間です。最良の矯正治療のためにも保定装置を正しく用いて、適切な保定期間を過ごしましょう。
矯正治療中の通院は?
矯正期間 | 毎月1回の通院(状態によります) |
---|---|
保定期間(経過観察期間) | 3〜6ヶ月毎に通院 |
いろいろな矯正治療
マルチブラケット法
矯正治療の中でも最も一般的な矯正装置による治療方法です。
1本1本の歯にブラケット(金属)を接着してワイヤーを通し、小さい力を加えて歯を移動させて行きます。
実績があり、安価で安定した矯正治療が行なえます。
1本1本の歯にブラケット(金属)を接着してワイヤーを通し、小さい力を加えて歯を移動させて行きます。
実績があり、安価で安定した矯正治療が行なえます。
MTM矯正(部分的な矯正)
歯並びや咬み合わせなど歯列全体の治療ではなく、すきっ歯や斜めに生えた歯など部分的に直したい歯を整える矯正治療です。
早い方でしたら3ヶ月ほどで歯を整え問題を改善することができます。その後、保定装置を装着し安定させます。
早い方でしたら3ヶ月ほどで歯を整え問題を改善することができます。その後、保定装置を装着し安定させます。
矯正治療の症例
症例1 下顎 前歯部 正中離開

下の前歯が空いた状態、
いわゆる正中離開です。


歯面にブラケットを固定し、
ワイヤーを調整しながら少しずつ力を
加え歯を動かして行きます。


歯列が綺麗に整い、
正中離開が改善されました。
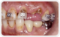
症例2 挺出(extrusion)の症例

真ん中の歯が虫歯のため歯肉の下まで歯を削りました。
この歯を生かすために、引っ張り出す(挺出)ことにしました。


歯を引っ張り出すための矯正装置を
装着しました。




歯を挺出する矯正治療が終了しました。


メタルボンドを装置しきれいに仕上がりました。
咬み合わせも改善でき、本来の口腔機能を
取り戻すことができました。
症例3 埋伏歯の挺出から歯列矯正、ブリッジ治療まで

上顎のブリッジ治療を行うにあたり、
成人になっても歯肉に埋まったままの犬歯を引っ張り出し(挺出)、歯並びを整える治療を行います。


犬歯に外科処置を施しました。


歯面にブラケットを固定し、
ワイヤーとゴム(パワーチェーン)を調整しながら少しずつ力を加え歯を動かして行きます。
埋まっていた犬歯が出てきました。


犬歯がきれいに出てきたので、矯正治療を
終了します。


ブリッジによる補綴治療を施し、
治療終了です。
歯並び、咬み合わせが改善されました。