美しい笑顔、凛々しい笑顔って素敵ですよね?
すてきな笑顔を手に入れて、もっと明るく充実した生活を始めてみませんか?

一般的なお口の機能の改善を目的とした治療だけでなく、歯や歯並びなどの美しさを追及する治療が審美歯科です。
当歯科医院では、すてきな笑顔を応援する治療を行っています。
人前で気にせずに笑いたい方! なんでもお気軽にご相談ください。
人工的に白い歯に!歯が変色してしまっている方にお勧め!
院長は大学病院でこの治療を専門としていました。
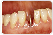
メタルボンド(クラウン)
金属のフレームにセラミックスを焼き付けた2層構造のかぶせ物(クラウン)です。
フレームが金属のため強度が高く、前歯や大臼歯、複数歯のブリッジに用います。表面のセラミックスが歯本来の自然な透明感を再現してくれます。
症例1 上の前歯4本をメタルボンドにしました。
人工のかぶせ物とは思えないほど周囲の歯に溶け込んでいます。
症例2 下の前歯をメタルボンドにしました。
オールセラミッククラウン
セラミックス(陶材)による歯へのかぶせ物(クラウン)です。
虫歯の治療など歯を大きく削った時に利用します。
周囲の歯の色にあわせて作るので、天然歯の色調・透明感を再現することができ、より自然な仕上がりとなります。
セラミックスは変色がなく金属アレルギーの心配のない最良の歯科材です。
ハイブリッドセラミッククラウン・ハイブリッドセラミックインレー
ハイブリッドセラミックは、セラミックス(陶材)とコンポジットレジン(プラスチック)による複合材で、セラミックスの透明感とコンポジットレジンの柔らかさといった自然の歯に近い性質を持っています。
これにより、天然歯にちかい色調や透明感と柔らかい自然な噛み心地を再現することができ、金属アレルギーの心配もありません。
ラミネートベニア
歯の表面を薄く削り、シェル状の薄いセラミックス(陶材)を貼り付けてきれいにする治療方法です。

歯の変色などホワイトニングでは白くできない方にお勧めです。
歯のすきま「すきっ歯」の改善にも利用できます。
歯を削る量が少なく通院回数も少ないので、気軽にできる審美歯科治療です。
すきっ歯もラミネートして改善
矯正のように歯を動かすのではなくセラミックスを貼り付けて隙間を埋める治療です。
軽度のすきっ歯の方に限られますが、安価で手軽な治療です。極端なすきっ歯状態によっては矯正治療やお勧めすることがあります。
短時間に歯をきれいにする手軽な治療!忙しい方にお勧め!
歯の汚れ落とし(エアフロー)
歯の表面にこびり付いた着色やバイオフィルム(プラーク)を強力なエアフローパウダーを吹き付けて取り除きます。
パウダーはさわやかなライムの香りです。
爽快で気持よく歯をきれいにすることができます。
茶しぶやタバコのヤニなど外因性の着色に効果があります。
ホワイトコート(歯のマニキュア)
デンタルコスメ! 歯に塗るマニキュア!

歯の表面に光で固まる白いプラスチック材を薄くコートする治療で、歯の色をお好みの白さに仕上げることができます。材料は虫歯の治療に使用するものと同じで安全性も確認されています。

生活習慣など個人差によりますが1ヶ月程度は効果が持続します。その美白効果からメイク感覚で定期的に利用している女性もおられます。
あなた本来の白い歯に ホワイトニング
もっときれいにならないかな? もっと白い歯にならないかな?
こんな悩みを解消してくれるのがホワイトニングです。

ホワイトニングには、歯科医院で行なうオフィスホワイトニング、家庭で行なうホームホワイトニング、両方併用するデュアルホワイトニングがあります。
どのホワイトニングも薬剤(過酸化水素または過酸化尿素)を用いて歯にしみこんだ有機性の着色成分を分解・漂白し、歯を白くします。麻酔の必要もなく、歯を削ずることもありません。
オフィスホワイトニング より早く、より白い歯に!!
歯科医院で行うため濃度の高い薬剤が使用でき、短時間で高い効果が期待できます。
当歯科医院では、アメリカのFDA(アメリカ政府食品医薬品局)認可の副作用のない歯や体に安全なホワイトニングシステムを採用しています。
多忙な患者様や高い効果を求める患者様にお勧めです。
ホームホワイトニング お手軽、簡単、自宅でできる!!
自宅で簡単にできるのがホームホワイトニングです。
2〜3週間と時間をかけて、ゆっくりと歯を白くして行くため、後戻りの少ない持続効果の高いホワイトニングです。
ご自宅で行うため安全なホワイトニング剤を使用します。そのため即効性ではオフィスホワイトニングより劣ります。
ホームホワイトニングの手順
効果を高めるために2〜3週間の間、毎日行います。
歯をきれいに磨きます。
(ホワイトニング効果を高めるため、フッ素入り歯磨き剤の使用は避けてください)
ホワイトニング剤をトレーに盛ります。(トレーは乾燥させておいて下さい)
トレーを装着します。
終了後、ていねいに歯磨きをします。(ホワイトニング専用歯磨き剤をお勧めします。)
トレーを洗浄し水分をよく切ってケースに保管します。
(洗浄はお湯を使用しないでください)
ホームホワイトニングに最適! 美白歯磨剤ブリリアントモア
ブリリアントモア(Bnilliant more)は白く輝く健康な歯を目的として開発された、研磨性を抑えながら各種ステインに高い清掃性能を発揮する美白用歯磨済です。
その秘密は配合成分、ホームホワイトニングの効果をさらに高めてくれます。
ブリリアントモア(Bnilliant more)の成分と効果
歯の表面からステインを浮き上がらせる化学的ステイン除去成分「ピロリン酸ナトリウム」を配合。
浮き上がったステインを、歯磨剤の清掃機能とブラッシングでスッキリ落とします。
フッ化ナトリウム950ppmF配合。
再石灰化を促進、虫歯の発生・進行を予防し、歯の健康を保ちます。
ステインとは
コーヒー、紅茶の着色物あるいはタバコのヤニなどが微細な凹凸表面に付着し着色性のステインとして観察されるようになります。
デュアルホワイトニング 即効性◎ 持続性◎ もっと白い歯に!!
オフィスホワイトニングとホームホワイトニングの併用がデュアルホワイトニングです。
まず、オフィスホワイトニングである程度の白さまで一気に歯を白くします。
その後、ホームホワイトニングで徐々に目標の白さまで歯を白くしていきます。
オフィスとホームのダブル効果で歯の白さも映え、白さも長持ちします。
同時にホワイトニング効果の高い専用歯磨き材のご利用もお勧めしています。
ホワイトニングは経年劣化による後戻りがあります。白い歯を少しでも長持ちさせるのに有効なのが定期検診時のPMTC(歯のクリーニング)です。
虫歯予防にもなるのでおすすめです!
PMTCは予防処置の専門家 歯科衛生士が行います!
新卒・既卒の歯科衛生士さんも募集中!
職場復帰、ブランクのある方、新卒の歯科衛生士さんには丁寧に指導いたします。
子育てを頑張っているママさん歯科衛生士もいます。
求人募集をご覧の上、お気軽にご連絡ください